Vai al contenuto

Ricerca attrezzatura specifica


Messaggi raccomandati

  • Moderatore
Inviato

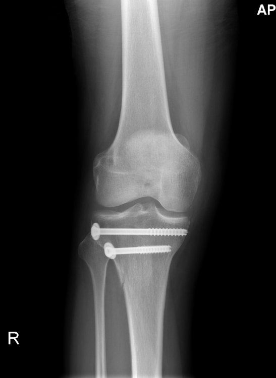
Secondo voi, che chiave occorre per svitare queste viti?

 

 

00001.jpeg

ACTRONICS revisione centraline, ABS e componenti elettronici auto per officine ACTRONICS revisione centraline, ABS e componenti elettronici auto per officine
  • Risposte 17
  • Creato
  • Ultima Risposta

Miglior contributo in questa discussione

  • badwork

    5

  • VinnyG

    3

  • Costantino

    1

  • sergio gavazzi

    1

Miglior contributo in questa discussione

Inviato

Be, qui prima della chiave c'è bisogno del bisturi ed una buona anestesia

Ciao Marcello

 

  • Grazie 1
Inviato

a si sono dimenticati il dado speriamo che non si svitino

Inviato

io più che chiave il prendere MARTELLO E SCALPELLO  :2funny: :2funny: :2funny:

  • Moderatore
Inviato

pensavo di usare il flessibile.....magari prima scaldo con il cannello  :D :D :D :D :D

  • Amministratore
Inviato
:dimen:
Inviato

a si sono dimenticati il dado speriamo che non si svitino

 

si sono dimenticati di mettere le rondelle dentellate

speriamo che non si allentino

 

a parte gli scherzi ma ancora la frattura c'è e si vede abbastanza spessa

Auguri Marcello

 

delta

  • Moderatore
Inviato

questa è di oggi, appena mi arrivano quelle del ricovero vedi la differenza.

 

Per precisare: le rondelle sotto la testa ci sono. :2funny:

Inviato

La vite superiore mi sembra un po lunghetta  :oops:

 

 

  • Moderatore
Inviato

ah, ecco! è per questo che ho sempre i pantaloni bucati all'altezza del ginocchio  :2funny:

Inviato

ah, ecco! è per questo che ho sempre i pantaloni bucati all'altezza del ginocchio  :2funny:

 

Vedo male o fuoriesce un pelino fuori dall'osso?

  • Moderatore
Inviato

Ancora viti? Ma scusa non facevano prima con un paio di rivetti? :P :P

  • Moderatore
Inviato

secondo me si poteva usare anche solo un po' di bostik....o no?

 

 

4_apr_2013_rm.jpg

Inviato

ma' non si poteva usare del bicomponente?

mi sa' che per quelle viti ci vuol un bel cacciavite torx

Inviato

auguri marcello,buona guarigione

non ci pensare sono tutti gelosi, che tu ai qulcosa piu di loro  :risata: :risata: :risata: :risata:

(le viti) :risata: :risata: :risata:

  • Moderatore
Inviato

Bel lavoretto, non avrei potuto fare di meglio :alien::2funny:, ma poi quelli viti te le tolgono?

 

In bocca al lupo Marcello, vedo che la guarigione è a buon punto :alien:( come se mi intendessi di qualcosa,BOOO!!!) :risata: :risata:

  • Grazie 1
Inviato

Auguri Marcello!!! ..... di una veloce ripresa, anch'io ho un paio di viti che mi tengono ben saldo il legamento del ginocchio.....  :oO:

  • Grazie 1
Inviato

Secondo voi, che chiave occorre per svitare queste viti?

 

 

Penso che l'unica cosa sia lo scalpello pneumatico :P :P

  • Statistiche Utenti

    19.428
    Meccatronici iscritti
    485
    Record utenti online
    Elettro78
    Nuovo iscritto
    Elettro78
    Iscritto
  • Statistiche forum

    38,7k
    Discussioni Totali
    440,4k
    Risposte Totali

Launch Italy


×
×
  • Crea Nuovo...